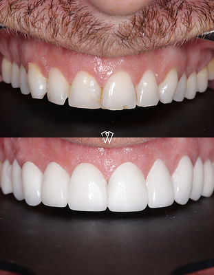
What Are Porcelain Veneers?
Porcelain veneers are thin, custom-made shells crafted from high-quality dental porcelain. These shells are designed to cover the front surface of your teeth, offering a natural-looking solution to enhance your smile. Whether you're dealing with chips, cracks, discoloration, or misalignment, porcelain veneers can dramatically improve the appearance of your teeth and provide you with a flawless, confident smile.
➤ Choose the shape, style, whiteness
➤ Long lasting
➤ Life changing smile

Why Choose Porcelain Veneers?
-
Natural Appearance Porcelain closely resembles the natural enamel of your teeth. Its translucency ensures your veneers blend seamlessly with the rest of your smile, giving you a stunning, realistic look.
-
Durability Porcelain is a highly durable material that resists stains and is designed to last for many years with proper care. It provides a long-term solution for achieving a beautiful smile.
-
Minimal Tooth Alteration Unlike traditional crowns, porcelain veneers require minimal alteration of your natural tooth structure, preserving more of your original teeth.
-
Stain-Resistant One of the key benefits of porcelain veneers is their resistance to stains, making them an excellent choice for those who drink coffee, tea, or wine and want to maintain a bright, white smile.
-
Quick and Effective Solution With just two visits to the dentist, you can completely transform your smile with porcelain veneers. The process is relatively quick, providing dramatic results in a short period of time.



The Process
-
Consultation & Planning During your initial consultation, we’ll discuss your goals and examine your smile. We may take X-rays and impressions to create a personalized treatment plan that best suits your needs.
-
Preparation The next step involves removing a small amount of enamel from your teeth to ensure a comfortable fit for your veneers. This step is minimally invasive and usually requires little to no anesthesia.
-
Custom Fabrication Once your teeth are prepared, we’ll take impressions that will be sent to a dental lab where your porcelain veneers will be custom-made to fit your teeth perfectly.
-
Bonding the Veneers After your custom veneers are ready, you’ll return to our office. We’ll test the fit and color of the veneers before bonding them permanently to your teeth. Once satisfied, the veneers are securely bonded, giving you an instant smile makeover!
Are Porcelain Veneers Right for You?
Porcelain veneers are an ideal solution for individuals who are looking to address:
-
Discolored or stained teeth
-
Chipped or cracked teeth
-
Slightly misaligned or uneven teeth
-
Gaps between teeth
-
Worn-down teeth
If you have good oral health and are committed to maintaining excellent oral hygiene, porcelain veneers could be a great choice for achieving a smile you’ll love.
Care & Maintenance
Maintaining your porcelain veneers is simple and easy:
-
Brush and floss regularly to keep your teeth and veneers clean.
-
Avoid chewing on hard objects (like ice or pens) that could damage your veneers.
-
Visit your dentist regularly for check-ups and professional cleanings.
With proper care, your porcelain veneers can last 25+ years, keeping your smile looking bright and beautiful.
Why Choose Us?
At Wisdom Dental, we pride ourselves on creating stunning, natural-looking porcelain veneers. Our team is dedicated to helping you achieve the smile you’ve always dreamed of through personalised care and advanced techniques. We offer a comfortable, welcoming environment and work with you to ensure your treatment is as smooth and successful as possible.



