top of page

Gemma's smile
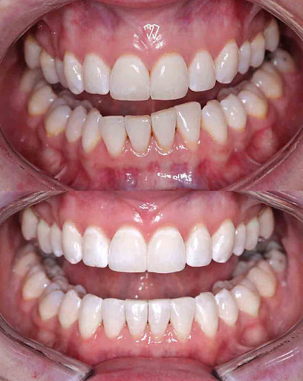
Great results for Gemma with our complete Invisalign and whitening package!
Invisalign quickly straightened Gemma's teeth, to widen the smile and achieve perfect bite & alignment. Then our professional whitening treatment to brighten the smile!






bottom of page



