top of page

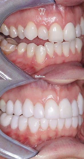
Danielle's smile
Danielle came to us looking to improve her smile confidence after being very conscious of the gaps in her teeth and noticing her teeth had moved over the years.
This full smile makeover was completed in just 3 simple steps:
After Danielles initial consultation to understand exactly how she wanted his smile to look, we quickly straightened the teeth with Invisalign to correct the bite and get the teeth in the perfect position. Then teeth whitening to improve the colour.
Then we digitally 3D smile designed Danielle composite bonding to the exact shape, style and whiteness she wanted!
It’s safe to say Danielle was thrilled with the results and can’t stop smiling!






bottom of page




